At BeyondSmile, we believe every smile tells a story—and we’re here to help you make yours beautiful, healthy, and confident. Located in the heart of Kolkata, our clinic is dedicated to providing exceptional dental care in a warm, friendly, and relaxed environment.
Led by Dr. Ankit Saha, a skilled Dentist and Endodontist with over 10+ years of clinical experience, and Dr. Dhruvi Parikh, an expert in Orthodontics and Dentofacial Orthopedics with more than 9+ years of experience, BeyondSmile has earned a reputation as the Best Dental Clinic in Ballygunge.
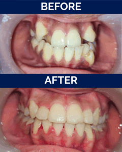
Offering you treatments as par with all your dental issues, from minor toothache to complex surgeries that make you smile a little brighter along with each piece of equipment that serves you the best.

MDS (Conservative Dentistry & Endodontics)
Dr. Ankit Saha, a compassionate and highly skilled Conservative Dentist and Endodontist with over 10+ years of clinical experience.

MDS (Orthodontics & Dentofacial Orthopedics)
Dr. Dhruvi Parikh is a highly skilled and compassionate specialist in Orthodontics and dentofacial orthopedics.









If you’re looking for the best dental clinic in Ballygunge, Kolkata, Beyond Smile Dental Clinic is a great choice. Led by Dr. Ankit Saha, the clinic offers expert care in general, cosmetic, and emergency dentistry. Patients appreciate their friendly staff, modern facilities, and personalized treatments for lasting dental health.
If you’re looking for painless root canal treatment in Ballygunge, Beyond Smile Dental Clinic is a great choice. Led by Dr. Ankit Saha, the clinic focuses on comfortable, stress-free procedures using modern techniques. Patients appreciate the gentle approach and expert care, making it a trusted spot for root canals in Kolkata.
Yes, Beyond Smile Dental Clinic does offer emergency dental care. Whether it’s a sudden toothache, a broken tooth, or other urgent dental issues, their team is ready to provide quick, professional treatment. You can trust Beyond Smile to handle emergencies efficiently while keeping you comfortable throughout.
Beyond Smile Dental Clinic is conveniently located in Ballygunge, Kolkata, making it easy to reach from most parts of the city. Known for its friendly staff and modern facilities, it’s a reliable choice for everything from routine checkups to advanced dental treatments. Visiting there is straightforward and comfortable.
If you’ve broken a tooth and need urgent care in Ballygunge, Beyond Smile Dental Clinic is a reliable choice. They handle dental emergencies quickly, offer expert treatment, and prioritize patient comfort. Conveniently located in Ballygunge, Kolkata, their team can restore your tooth and relieve pain efficiently, even on short notice.
EXCELLENT Based on 101 reviews Posted on Google Urja RoyTrustindex verifies that the original source of the review is Google. Everyone here is very professional and kind, and the procedure was very comfortable.Posted on Google Jeffrey MenezesTrustindex verifies that the original source of the review is Google. Ankit ( beyond smile) performed a root canal on me. Very gentle and efficient. No pain no swelling.. a job well done. 👏Posted on Google Neha BiswasTrustindex verifies that the original source of the review is Google. Amazing servicePosted on Google Isha MehtaTrustindex verifies that the original source of the review is Google. Great experience at Dr. Ankit Saha’s clinic (Beyond Smile). He is professional, gentle, and explained everything clearly. Clean clinic and friendly staff. Highly recommended!Posted on Google Parthasarathi BhattacharyaTrustindex verifies that the original source of the review is Google. Thorough professionals. Would recommend 10/10.Posted on Google Kevin SojuTrustindex verifies that the original source of the review is Google. Had an amazing experience here with my cleaning and polishing. Great staffs.Posted on Google Ritik RoyTrustindex verifies that the original source of the review is Google. Good behaviourPosted on Google Amritendu ChowdhuryTrustindex verifies that the original source of the review is Google. Good experienceVerified by TrustindexTrustindex verified badge is the Universal Symbol of Trust. Only the greatest companies can get the verified badge who has a review score above 4.5, based on customer reviews over the past 12 months. Read more
Our clinic provides high-level dental services, offers comprehensive solutions for the treat- ment of any dental disease.
+91 7439996185
23, Ballygunge Gardens, Gariahat, Kolkata, West Bengal 700019
Mon to Sat- 9.30 AM– 8.30 PM
Sunday: Closed
At Beyond Smile Dental Clinic, we take pride in being recognized as the Best Dental Clinic in Ballygunge, Gariahat. Our expert team, led by Dr. Ankit Saha, is dedicated to providing personalized, high-quality dental care in a comfortable and caring environment
Copyright © 2026 – Beyond SmileDental Clinic | Developed by DMX Digital
WhatsApp us